 |
產品中心 |
|
|
|
|
|
|
|
|
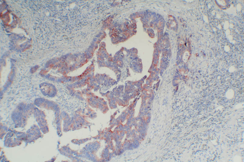
| 免疫組化顯色套組含AEC呈色組(聚合物法) | | 來源:本站 點擊數:2757次 更新時間:2016-1-7 11:41:32 | | 產品名稱:免疫組化顯色套組含AEC呈色組(聚合物法) |  | | | 英文名稱:Mouse/Rabbit Probe HRP Labeling Kit with AEC | | 產品貨號:TAHC03A | | 預期用途:在免疫組化反應或原位雜交反應中與首要抗原抗體結合,通過染色,將靶點進行標記。 | | 產品效果: | |
| | 詳細介紹: | |
【作用原理】免疫組化實驗中,組織與特異性一級抗體反應后,用HRP酶結合物與一級抗體進行結合,并放大鏈接信號,最后用AEC染色液染色后使待測抗原在原有組織中標記出來。
【主要組成成份】
|
產品組成
|
規格
|
數量
|
|
高效背景去除劑
|
8ml、15ml、50ml、100ml、200ml、250ml
|
1瓶
|
|
過氧化酶去除劑
|
8ml、15ml、50ml、100ml、200ml、250ml
|
1瓶
|
|
HRP酶結合物
|
8ml、15ml、50ml、100ml、200ml、250ml
|
1瓶
|
|
AEC 色原液
|
0.25ml、0.5ml、1.5ml、3ml、6ml、7.5ml
|
1瓶
|
【儲存條件】2-8℃密封保存
|
|
|
| |
Copyright © 2004-2016 三明市安信生物技術有限公司 All
Rights Reserved
服務熱線:0598-8275627 0598-8239379
閩ICP備15019880號-1
|
|
|
|